Здоровье зубов во многом зависит от того, в каком состоянии находится зубная основа – окружающие ткани, удерживающие их на месте. Эти проблемы изучает раздел стоматологической науки, именуемый пародонтологией.
Профилактикой и лечением патологических состояний околозубных тканей ведает врач-парадонтолог.
Пародонт: что это такое
Совокупность тканей, окружающих зуб и удерживающих его в стабильном положении, называют пародонтом. Все эти ткани снабжает кровью челюстная артерия.
Компонентами, образующими пародонт, являются:
- Десны, представляющие собой эпителиально-соединительную ткань, покрывающую изнутри края верхней и нижней челюсти. Главная их задача – защита глубжележащих тканей от механических повреждений и инфицирования.
- Периодонт — ткани, окружающие зуб со всех сторон, сохраняющие его стабильное положение в лунке и тем самым способствующие равномерному распределению нагрузки на все зубы.
- Цемент, представляющий собой кальцифицированную ткань, которая покрывает зубной корень. В отличие от костной ткани, в нем отсутствуют кровеносные и лимфатические сосуды.
- Альвеолярные отростки – челюстные участки, имеющие губчатую структуру, на которых располагаются зубы. Через них проходят нервы и кровеносные сосуды.
Под влиянием негативных факторов в патологический процесс может вовлекаться весь пародонт либо его часть.
Парадонтолог — это специалист, занимающийся диагностикой и лечением заболеваний пародонта, то есть тканей, окружающих зубы. Врачи отмечают, что здоровье десен играет ключевую роль в общем состоянии полости рта. Парадонтит и гингивит — наиболее распространенные заболевания, которые могут привести к потере зубов, если не начать лечение вовремя. Парадонтологи проводят профилактические осмотры, чистку зубов, а также разрабатывают индивидуальные планы лечения, включая хирургические вмешательства в сложных случаях. Врачи подчеркивают важность регулярных визитов к парадонтологу, так как ранняя диагностика заболеваний позволяет избежать серьезных последствий и сохранить здоровье зубов на долгие годы.

Когда обращаться за консультацией к пародонтологу
При выявлении на ранних стадиях недуги пародонта — обратимый процесс. Поэтому требуется срочная консультация пародонтолога, если замечены следующие симптомы:
- Во рту появился стойкий неприятный запах.
- Десны покраснели, набухли или отекли.
- В процессе чистки зубов отмечается кровоточивость десен.
- Изменился прикус.
- Десны отстают от зубов или опустились (при этом зубы визуально могут выглядеть длиннее).
- Появились очаги нагноения между зубами и деснами.
Регулярное посещение врача-парадонтолога позволит предотвратить не только преждевременную потерю зубов, но и другие, более серьезные недуги.
Недавние исследования, проведенные учеными из США, дают основание полагать, что заболевания тканей пародонта могут послужить причиной формирования злокачественных новообразований в пищеводе, ротовой полости и груди. Минимально эти недуги увеличивали риск онкологии на 14%, при этом более всего отмечено повышение риска возникновения рака пищевода.
Что лечит пародонтолог
В пародонте могут возникать патологические проявления воспалительного, дистрофического или опухолевого характера. Наиболее распространены воспалительные недуги.
Парадонтолог — это специалист, занимающийся диагностикой и лечением заболеваний пародонта, то есть тканей, окружающих зубы. Многие люди не осознают, насколько важна роль парадонтолога в поддержании здоровья полости рта. Заболевания пародонта, такие как гингивит и пародонтит, могут привести не только к потере зубов, но и к серьезным проблемам со здоровьем в целом. Парадонтологи проводят профилактические осмотры, чистки, а также разрабатывают индивидуальные планы лечения для пациентов. Они обучают правильной гигиене полости рта и помогают предотвратить рецидивы заболеваний. Отзывы пациентов о парадонтологах часто подчеркивают их профессионализм и внимательное отношение, что делает визит к этому специалисту менее стрессовым и более эффективным. Здоровье десен напрямую связано с общим состоянием организма, поэтому регулярные посещения парадонтолога — важная часть заботы о себе.

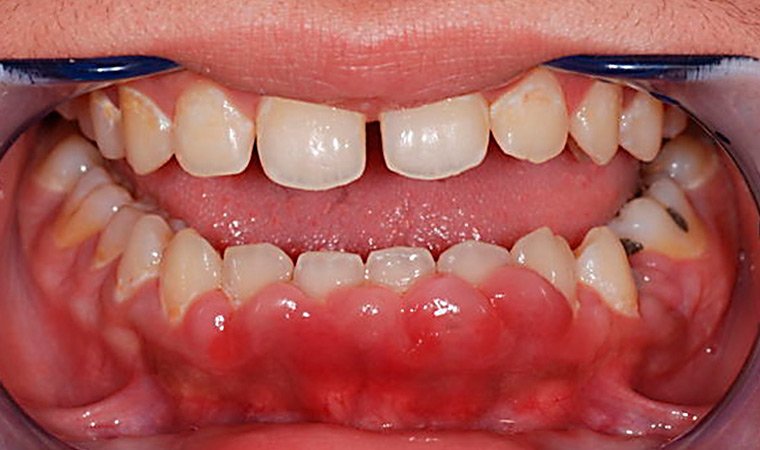
Гингивит
Недуг, поражающий поверхностные ткани десен. Появляется чаще всего как результат нарушения гигиены ротовой полости, когда на зубах формируется микробный налет. Другие провоцирующие факторы – курение, беременность, иммунодепрессивные состояния, сахарный диабет, прием гормональных препаратов, перенесенные инфекционные недуги.
Зачастую гингивит не дает болезненных ощущений, а сам воспалительный процесс характеризуется вялым течением. Периодически отмечается кровоточивость десен во время чистки, неприятный запах изо рта. При обострениях наблюдается отек и покраснение десны.
Гингивит нередко выявляется лишь на профилактическом осмотре у пародонтолога.
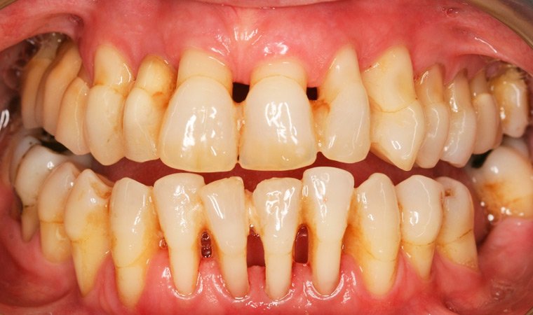
Пародонтит
Заболевание, характеризующееся вовлечением в патологический процесс всех компонентов пародонта.
Может вызываться причинами местного (патогенными микроорганизмами, травмами) и общего характера (сахарный диабет, патологии кровеносной системы, многие хронические недуги).
При парадонтите происходит прогрессирующее разрушение тканей альвеолярных отростков. В начале болезни наблюдается кровоточивость десен, налет на зубах и их подвижность, иногда – повышенная вязкость слюны. Десны воспаляются, из зубо-десневых карманов выделяется гной, зубы постепенно начинают шататься, смещаться, и при дальнейшем развитии патологического процесса они выпадают. Часто эти процессы сопровождаются болезненностью и увеличением подчелюстных лимфузлов.
Можно сказать, что гингивит и пародонтит являются взаимосвязанными заболеваниями, потому что воспаление первоначально формируется в тканях десны, постепенно распространяясь на другие компоненты пародонта.
Подробно о парадонтите рассказывается в этом видеоролике:

Стоматит
Распространенное поражение слизистой в ротовой полости. Принято считать, что таким образом проявляется реакция иммунной системы на разнообразные раздражители. Основной симптом – отечная, болезненная и покрасневшая слизистая оболочка во рту. Часто на ней появляется белый или желтоватый налет.
Стоматит может развиваться по причине поражения патогенными микроорганизмами, несоблюдения гигиены ротовой полости и ее механическими и термическими повреждениями, гормональных колебаний и других факторов.
Проводимые исследования дают основания предположить, что стоматит может возникнуть из-за использования зубных паст, имеющих в составе лаурил сульфат натрия.
Пародонтоз
Болезнь характеризуется атрофически-дистрофическими изменениями в пародонте. Нарушается питание костных челюстных тканей, воспалительный процесс затрагивает и область периодонта.
При пародонтозе отсутствуют болезненные ощущения, поэтому многие больные не видят повода для обращения за медицинской помощью. Поначалу отмечаются лишь небольшие изменения в состоянии десен: незначительный зуд, чувствительность при употреблении холодного и горячего, дискомфорт при пережевывании твердой пищи. Болезнь прогрессирует, проявляется характерный признак пародонтоза — корни зубов обнажаются, а сами зубы становятся как будто длиннее.
Причина развития пародонтоза пока точно не установлена. Врачи отмечают влияние наследственного фактора, имеющихся системных болезней, поражений костей, сахарного диабета. Пародонтологи предполагают, что этот недуг появляется, если ткани десен недостаточно снабжаются кровью.
На сегодняшний день пародонтоз считается неизлечимым недугом. Терапия у больных, как правило, включает общеукрепляющее и противовоспалительное лечение, направленное на максимальную возможную регенерацию поврежденных тканей.
Пародонтомы
Группа патологических состояний пародонта, включающая опухоли и опухолевидные новообразования, происходящие из его тканей, в большинстве случаев – доброкачественного характера.
- Эпулис – разрастание опухолевой ткани из-за хронического раздражения десны, вызываемого, как правило, травмой. Опухолевидное новообразование белесоватого или красноватого цвета чаще появляется на десне резцов и клыков, иногда — премоляров, имеет грибовидную или округлую форму. Наиболее распространено у женщин 20-40 лет.
- Фиброматоз десен — разрастание соединительной ткани, имеющей плотную и волокнистую структуру. Болезнь имеет медленное развитие. На поверхности десны (в основном – у передних зубов) возникают безболезненные плотные новообразования, не выделяющиеся по цвету.
Развиваясь, фиброматоз создает трудности в ежедневном уходе за полостью рта, разросшиеся участки мешают пережевыванию пищи.
Излечивается хирургическим путем.
Болезни пародонта имеют хроническое течение, и при отсутствии своевременного лечения способствуют выпадению зубов, формированию инфекционного очага, который впоследствии может спровоцировать заболевания внутренних органов.
На приеме у парадонтолога
В связи со слабой выраженностью многих заболеваний околозубных тканей многие больные оказываются на приеме у парадонтолога по направлению стоматолога, который замечает воспалительный процесс в ротовой полости во время лечения зубов. Между тем, записаться на прием к этому специалисту можно напрямую, через регистратуру медицинского учреждения или администратора клиники.
Медицинская практика врача-парадонтолога осуществляется в трех направлениях:
- Профилактические осмотры и консультирование по правильному уходу за зубами и полостью рта в целях предотвращения болезней пародонта.
- Осмотры при наличии жалоб и диагностика имеющихся заболеваний.
- Комплекс лечебных процедур.
Визит пациента к парадонтологу начинается с визуального осмотра. Врач оценивает состояние ротовой полости и устанавливает предварительный диагноз. Для оценки глубины и степени распространенности патологического процесса используются парадонтологические индексы, включающие в себя такие критерии как кровоточивость десен, подвижность зубов и ряд других.
Для более точной диагностики могут потребоваться лабораторные исследования:
- Общий и биохимический анализ крови.
- Иммунограмма.
- Проба Роттера, с помощью которой определяют, достаточно ли в организме витамина C. На поверхность языка наносят реагент и через 15 секунд оценивают результат. Пятно, оставшееся на языке, указывает на дефицит указанного витамина, а это одна из причин выпадения зубов.
- Определение степени воспаления десны (проба Шиллера—Писарева). На поверхность десны наносят специальный йодсодержащий растровом. Здоровая десна окрашивается в соломенно-желтый цвет, при имеющемся воспалении она приобретает оттенки от светло-коричневого до темно-бурого.
- Обследование на определение степени стойкости капилляров десны по Кулаженко, при котором отмечается время возникновения гематомы на ее поверхности. Если имеется воспаление пародонта, этот период сокращается в 2—5 раз и более раз.
- Исследование на жизнеспособность лейкоцитов, позволяющее оценить защитную способность слюны (Проба Ясиновского).
- Микробиологические мазки со слизистой оболочки рта.
Для максимально точного выявления поражения пародонта используется рентгенография.
Особенности работы детского пародонтолога
Болезни пародонта – не самое распространенное заболевание у детей, встречаются приблизительно у 5% из них, однако при этом у них есть ряд особенностей.
Если указанные недуги возникают в детским возрасте, они охватывают незрелые, растущие и постоянно перестраивающиеся ткани. Этот факт необходимо учитывать при лечении, поэтому будет предпочтительнее в случае возникновении патологий пародонта у ребенка обратиться к детскому пародонтологу.
Причины болезней пародонта у детей
- Присутствие на поверхности зубов бактериального налета, образующегося из-за неумения ухаживать за полостью рта.
- Сниженный иммунитет, частая заболеваемость инфекционными недугами.
- Неправильно сформированный прикус.
- Укороченная уздечка языка.
- Механическое травмирование десен.
- Возрастная гормональная перестройка организма.
- Нарушение режима питания.
Воспаления в пародонте: особенности в детском возрасте
Как и у взрослых, у детей наиболее часто встречающимися недугами пародонта являются гингивит и пародонтит, причем последний, формируясь в разных возрастных периодах, имеет свои характерные особенности.
- Препубертатный пародонтит. Его причиной часто становится ослабленный иммунитет малыша. Болезнь формируется в ходе появления молочных зубов или же сразу после этого. Нарушается соединение десны с зубом, что приводит к ранней утрате молочных зубов. Состояние опасно тем, что есть риск перехода воспаления на зачатки постоянных зубов.
- Пубертатный пародонтит. Развивается в подростковом периоде, частой причиной его возникновения является смена гормонального фона и недостаточно тщательный уход за ротовой полостью. Появляется неприятный запах изо рта, дискомфортное ощущение распирания в деснах, сопровождающееся зудом, возможны выделения из десен.
Прием у детского парадонтолога
Чтобы с детского возраста у ребенка не сформировался страх перед лечением зубов, желательно, чтобы посещение пародонтолога происходило в 2 этапа.
- Ознакомительный этап. Пока врач будет беседовать с родителями, ребенку предлагается походить по кабинету, посидеть в кресле. Далее пародонтолог осматривает ротовую полость, определяет имеющиеся проблемы. Первый визит должен завершиться рекомендациями о правильном уходе за зубами и деснами.
- Непосредственное проведение лечебных процедур. В кабинете детского пародонтолога часто присутствует телевизор, чтобы ребенок мог переключиться на просмотр мультфильма, отвлекаясь тем самым от процедуры.
Работа с маленькими пациентами помимо высокопрофессиональных знаний дополнительно требует от детского пародонтолога психологических навыков.
Здоровая ротовая полость означает не только отсутствие постоянного очага инфекции в организме. Она обеспечивают высокое качество жизни и уверенность в себе. Все это может дать своевременное посещение врача – парадонтолога.
Вопрос-ответ
В чем разница между стоматологом и пародонтологом?
Сфера деятельности. Сфера деятельности стоматологов широка и охватывает широкий спектр стоматологических процедур: от чистки зубов и пломбирования до лечения корневых каналов и установки мостов. Пародонтологи же специализируются на лечении заболеваний дёсен и связанных с ними состояний, таких как рецессия дёсен и потеря челюстной костной ткани.
Что входит в обязанности пародонтолога?
Пародонтолог занимается диагностикой, лечением и профилактикой заболеваний пародонта, то есть тканей, окружающих зубы. В его обязанности входит проведение профессиональной гигиенической чистки, лечение пародонтита и гингивита, хирургические вмешательства при тяжелых формах заболеваний, а также консультирование пациентов по вопросам ухода за полостью рта и профилактики заболеваний десен.
Советы
СОВЕТ №1
Регулярно посещайте парадонтолога, даже если у вас нет явных проблем с деснами. Профилактические осмотры помогут выявить заболевания на ранней стадии и предотвратить их развитие.
СОВЕТ №2
Обратите внимание на гигиену полости рта. Чистите зубы дважды в день и используйте зубную нить, чтобы удалить налет и остатки пищи из труднодоступных мест, что поможет снизить риск заболеваний десен.
СОВЕТ №3
Не игнорируйте симптомы, такие как кровоточивость десен, неприятный запах изо рта или подвижность зубов. Эти признаки могут указывать на проблемы с парадонтитом, и важно обратиться к специалисту как можно скорее.
СОВЕТ №4
Следите за своим образом жизни: сбалансированное питание, отказ от курения и регулярные физические нагрузки положительно влияют на здоровье десен и всего организма в целом.











